Why You May Need a Dental Crown After Root Canal Therapy

Dental Crowns Swansea, MA

Root canal therapy is often the final step in saving a severely damaged or infected tooth. However, in most cases, a general dentist will recommend placing a dental crown after root canal therapy to contribute to your long-term oral health. This restoration strengthens and protects the treated tooth, helping the tooth to maintain its function, strength, and appearance.

Understanding root canal therapy

Root canal therapy involves removing infected or damaged pulp from inside a tooth. The pulp contains the tooth's inner nerves and blood vessels. When decay or trauma reaches the pulp, infection can occur, causing pain and inflammation.

During the procedure, the dentist removes the infected tissue. Then, they clean and disinfect the canal to prevent remaining bacteria from reinfecting the tooth. Finally, the dentist seals it with a biocompatible material to further protect it from damage.

Why dentists recommend dental crowns after root canal therapy

A dental crown serves as a protective covering that restores both the structure and strength of the treated tooth. While this process effectively eliminates pain and infection, it also leaves the tooth more fragile and susceptible to damage. The removal of the pulp removes the tooth's natural blood and water supply, which leads to dehydration, leaving the tooth brittle. The procedure also requires removing a portion of the tooth's internal structure, further weakening it and leaving it susceptible to chips, cracks, or breaks under normal chewing forces.

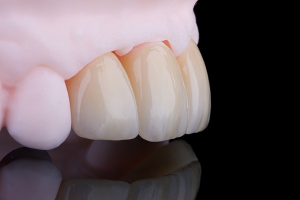
Fortunately, placing a dental crown provides the necessary reinforcement to withstand daily use. The crown acts as a barrier against fractures and further decay, extending the life of the tooth. It also restores the tooth's natural appearance, blending seamlessly with the surrounding teeth.

The benefits of a dental crown after root canal therapy

Protects the tooth structure

Teeth that undergo root canal therapy often lose a significant portion of their original structure due to decay or damage. This loss of enamel and dentin compromises stability. A dental filling alone may not offer enough support to prevent future issues.

A dental crown covers the remaining tooth structure, distributing bite pressure evenly across the tooth. This design reduces the risk of cracks or fractures and restores the tooth's natural function. For molars and premolars, which endure greater chewing forces, crowns are particularly important for long-term durability.

Improves comfort and appearance

Beyond structural protection, a dental crown also improves the patient's comfort and the appearance of their smile. After root canal therapy, the treated tooth can sometimes appear darker or discolored. Fortunately, a crown can restore a natural, uniform color, improving the overall appearance of the tooth.

Additionally, dental crowns eliminate sensitivity that may occur after the procedure as they completely seal the tooth. This protective barrier prevents temperature changes and pressure from affecting the inner layers of the tooth. As a result, the patient can continue to consume their favorite drinks and foods without the fear of discomfort.

Long-term benefits of choosing a dental crown

A well-placed and maintained dental crown can extend the life of a tooth for many years. Since the restoration maintains the natural tooth's function, it can reduce the need for more complex treatments, such as extractions and implants. Additionally, with the right oral care and routine dental visits, crowns can last more than a decade, depending on the material used.

Do you need a dental crown after a root canal?

Root canal therapy is a safe and effective procedure that saves a tooth from extraction. However, it is not always enough to ensure full restoration. Fortunately, a dental crown provides the protection and strength your tooth needs post-treatment. Do you need a dental crown after root canal treatment? Give our Swansea office a call to schedule a consultation.

Request an appointment here: https://swansea.508dentist.com or call 508 Dentist at (508) 570-2332 for an appointment in our Swansea office.

Check out what others are saying about our dental services on Yelp: Dental Crowns and Dental Bridges in Swansea, MA.

Related Posts

How A General Dentist Can Improve Gray Teeth

There are many ways to keep your teeth bright, white, and healthy. However, you may see unfamiliar stains or shades on your teeth, making them appear gray. Fortunately, a general dentist can evaluate gray teeth by identifying the root cause of the change.It is common for teeth to change color, and it does not always…

Factors To Consider Before Getting All-on-4 Implants

All-on-4 implant treatment has become a transformative option for individuals seeking full-arch restoration, and understanding several important factors before choosing all-on-4 is essential.Before patients undergo all-on-implant placement, their dental provider will need to determine if they are ideal candidates. Factors that contribute to this include: Sufficient bone density Good overall oral health Healthy gum tissue…

Why Is Wisdom Teeth Removal Recommended For Teenagers?

Wisdom teeth, also called the third molars, often cause concerns with oral health, lead to pain, or do not allow for proper spacing to occur. While many individuals can wait until after they are adults to have wisdom teeth removed, a dental professional may recommend early removal for teenagers in certain situations.Wisdom teeth removal may…

Ask An Emergency Dentist: What You Need To Know

An emergency dentist can be a reassuring source of professional care in moments of sudden dental pain, injury, or complications. Addressing unexpected problems promptly helps prevent further damage and protect oral health. Having a clear plan and following expert recommendations will make managing stressful dental emergencies easier, maintain healthy teeth and gums, and reduce the…